Haematology Watch

 Jan 2026

  www.haematologywatch.net   


           The e-Newspaper of Haematology Pakistan                            Established in July, 2009     

 

 A N N O T A T E D   T A B L E   O F   C O N T E N T S


 LABORATORY HAEMATOLOGY:


Should we re-run an out-of-control Internal Quality Control result? [Free Full Text]

Mehmood-ul-Hasan Malik
Haematology Watch January 2026

The perspective highlights importance of when to re-run and when not to re-run an out of control Internal Quality Control (IQC) result.


How to prevent an out-of-control Internal Quality Control result? [Free Full Text]

Mehmood-ul-Hasan Malik
Haematology Watch January 2026

An old adage says: prevention is better than cure. Let us see it for IQC.

Mehmood-ul-Hasan Malik
Haematology Watch January 2026


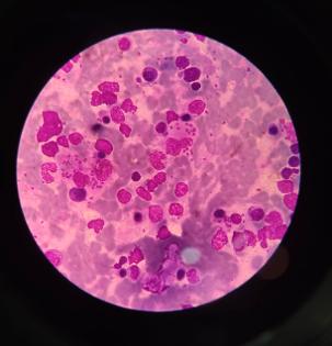
 IMAGE OF THE ISSUE:


An unusual offender
 
Neelam Ahmad
Haematology Watch January 2026



 STUDENTS' CORNER:


Evaluation of 100% Foetal Haemoglobin [Free Full Text]

Mehmood-ul-Hasan Malik

Haematology Watch January 2026

A 100% HbF creates diagnostic challenge. An overview of evaluation is given here.

History and Examination Form for Marrow Examination and Haemoglobin Variant Analysis [Free Word File]

Mehmood-ul-Hasan Malik
Haematology Watch January 2026

A simplified format of reporting salient features of history and examination.


 QUESTION OF THE ISSUE:


Question of the Issue

Mehmood-ul-Hasan Malik
Haematology Watch January 2026

                I M A G E   O F   T H E   I S S U E